Dott. Butera Andrea*; Dott.ssa Bertolini Martina**; Dott. Di Fonso Fabio**; Dott.ssa Felisa Eleonora**; Prof.ssa Genovesi Annamaria***
*Direttore dell’Attività Didattiche Professionalizzante Corso di Laurea in Igiene Dentale Università degli Studi di Pavia, Docente Master in “Igiene Orale ad indirizzi implantare, parodontale, estetico ed ortodontico” all’Istituto Stomatologico Toscano.
**Master di I livello in “Igiene Orale ad indirizzi implantare, parodontale, estetico ed ortodontico” presso l’Istituto Stomatologico Toscano.
***Direttore Master in “Igiene Orale ad indirizzi implantare, parodontale, estetico ed ortodontico” dell’Istituto Stomatologico Toscano.
Introduzione
Il concetto di microbioma è un concetto di recente interesse in ambito odontoiatrico. Esso consiste nell’insieme del patrimonio genomico dei microrganismi e delle interazioni biochimiche con l’ospite. Le manovre di igiene orale, domiciliare e professionale, sono fondamentali per il mantenimento dell’eubiosi e di conseguenza della salute orale, tuttavia esistono fattori di rischio individuali in grado di determinare una disbiosi, quali: fumo di sigaretta, dieta, stress, invecchiamento, farmaci e gravidanza.
Il trattamento ortodontico è strettamente correlato all’insorgenza di problematiche a carico del parodonto1, generalmente considerate di natura transitoria. Di fatto la terapia ortodontica provoca un cambiamento qualitativo e quantitativo del microbiota orale2, 3 tuttavia, ogni specie patogena segue il suo andamento di crescita indipendentemente dalle altre specie. Nei primi tre mesi di trattamento vi è un aumento dei patogeni parodontali4, mentre viene raggiunto l’apice a sei mesi. Il debondig non elimina il rischio di insorgenza di problemi parodontali5, 6 poiché il livello di patogeni rimane alto fino a sei mesi dopo la fine del trattamento.
Nel mantenimento dell’equilibrio della flora microbica possono rivestire un importante ruolo i probiotici, essi sono microrganismi vivi (lactobacilli, bifidobatteri e streptococchi) in grado di sostituirsi ai batteri patogeni attraverso il meccanismo della competizione. La terapia ortodontica, che sia fissa tradizionale, linguale oppure invisibile prevede la presenza di brackets o attachments che sono elementi ritentivi per la placca e costituiscono un ostacolo nelle corrette manovre di igiene orale. L’igienista, durante il corso della terapia ortodontica, affianca il paziente sottoponendolo a una terapia di mantenimento: oltre alle sedute standard di igiene orale professionale vengono pianificati richiami mensili con lo scopo di tenere controllati tessuti duri e molli e di motivare e istruire al meglio il paziente in modo tale che possa controllare efficacemente il biofilm anche domiciliarmente.
L’obiettivo dello studio è quello di valutare l’effetto del dentifricio Biorepair Peribioma in pazienti ortodontici parodontali al fine di determinare se questo possa costituire un valido supporto domiciliare alle sedute professionali, contribuendo al mantenimento della salute orale.
Materiali e metodi
Lo studio ha preso in considerazione un gruppo di cinquanta pazienti con età compresa tra i 18 e i 50 anni, con sondaggi patologici maggiori o uguali a 4 mm e con una buona compliance per garantire la collaborazione all’igiene orale domiciliare. Il protocollo prevede tre gruppi di studio che corrispondono a tre diverse tipologie di trattamento ortodontico: tradizionale (20 pazienti), linguale (10 pazienti) ed invisibile (20 pazienti). Per ciascuna tipologia di ortodonzia i pazienti sono stati ulteriormente suddivisi in due gruppi: gruppo I sottoposto a trattamento domiciliare con dentifricio Biorepair Peribioma e gruppo II a cui non è stata data un’indicazione precisa sul dentifricio da utilizzare durante il periodo della sperimentazione. Entrambi i sottogruppi sono stati sottoposti a tre sedute professionali, nella prima è stata eseguita la seduta di igiene orale professionale (t0), polvere di glicina dopo un mese (t1) e due mesi (t2) rispetto alla prima seduta. Ad ogni seduta sono stati rilevati gli indici presi in considerazione dal protocollo (PPD, IP, BOP) ed è stata effettuata l’istruzione e la motivazione alla corretta igiene orale. Ai pazienti del Gruppo I è stato consegnato il dentifricio Biorepair Peribioma.
Risultati
Per quanto concerne l’indice di placca (IP) è stato notato un netto miglioramento del gruppo I per tutti i tipi di ortodonzia studiata (Grafico 1). In particolare, nel caso dell’ortodonzia invisibile l’indice è diminuito nel gruppo I dal 59,76%, rilevato al tempo zero, al 41,23% rilevato invece dopo due mesi di trattamento. Entrambi i test statistici utilizzati (t di student e analisi della varianza) non hanno dimostrato una differenza significativa dei dati in un intervallo di confidenza al 95%, sia per il gruppo I che per il gruppo II.
Per quanto concerne l’ortodonzia linguale, il gruppo I ha evidenziato un miglioramento di IP dal 74,52% al 48,21%, il gruppo II dal 67,24% al 52,37%. Non si è verificata una variazione statisticamente significativa con test t student, diverso invece il risultato ottenuto con analisi della varianza che ha dato significatività statistica. IP nei casi di ortodonzia tradizionale non ha dato significatività statistica per entrambi i test statistici utilizzati, nonostante un miglioramento medio da 79,37% a 48,61% nel gruppo I e da 84,56% a 50,09% nel gruppo II (Tabb. 1, 2).
L’indice di sanguinamento ha anch’esso mostrato notevoli miglioramenti in tutti i tipi di ortodonzia studiata (Grafico 2). Nel caso dell’ortodonzia invisibile, il gruppo I ha mostrato un decremento del BOP da un valore di 17,59% al tempo zero ad un valore di 11,88% dopo due mesi di trattamento con il dentifricio Biorepair Peribioma; mentre per il gruppo II di controllo vi è stato un miglioramento percentuale medio del 5,71%. L’analisi statistica condotta mediante t di student ha mostrato una differenza significativa tra i dati raccolti al tempo zero e quelli raccolti al checkpoint finale, differenza che non è stata dimostrata mediante l’analisi della varianza. Nei casi di ortodonzia linguale BOP nel gruppo I ha subito un netto miglioramento da 22,7% a 9,9% confermato dal test t di student come statisticamente significativo, non significativo invece il test della varianza. Per quanto riguarda l’ortodonzia tradizionale BOP ha trovato significatività test t di student e non significatività con analisi della varianza (Tabb. 3, 4).
La profondità di sondaggio ha mostrato anche in questo caso un miglioramento generale nel gruppo sottoposto a trattamento domiciliare con Biorepair Peribioma (Grafico 3). Per quanto concerne l’ortodonzia invisibile solamente il test t di student ha dimostrato una differenza significativa tra le serie di dati ottenute al tempo zero e dopo due mesi di trattamento. In particolare, i dati del gruppo I sono passati da un valore medio iniziale di 2,61 mm ad un valore medio finale di 2,42 mm. In merito all’ortodonzia linguale il gruppo I ha subito una diminuzione da una media di 2,83 mm a T0 a una media di 2,55 mm a T2. Nel gruppo II la media iniziale era di 2,78 mm, diminuita a 2,64 a T2. Nonostante vi sia stato un miglioramento dell’indice, non vi è stata una significatività statistica con test t di student, significativo invece il test della varianza. Infine, la variazione di PPD nei gruppi analizzati per l’ortodonzia tradizionale ha dimostrato significatività con test t di student ma non con analisi della varianza, con un miglioramento della media nel gruppo I da 2.94 mm a 2,64 mm e da 3,11 mm a 2,89 nel gruppo II (Tabb. 5, 6).
Discussione
Lo studio ha avuto lo scopo di testare l’efficacia del dentifricio Biorepair Peribioma nei pazienti ortodontici, e valutare se potesse essere di supporto nel mantenimento della salute orale.
Il dentifricio Biorepair Peribioma è composto da cristalli di idrossiapatite biomimetica addizionati con specifici probiotici, i cristalli permettono di riparare lo smalto dentale creando uno strato protettivo. È inoltre presente la mastica di Chios, una resina vegetale che contrasta la proliferazione batterica. La formula del dentifricio è ulteriormente perfezionata grazie all’aggiunta di un complesso vitaminico con acido ialuronico ad azione detossificante e riepitelizzante sui tessuti.
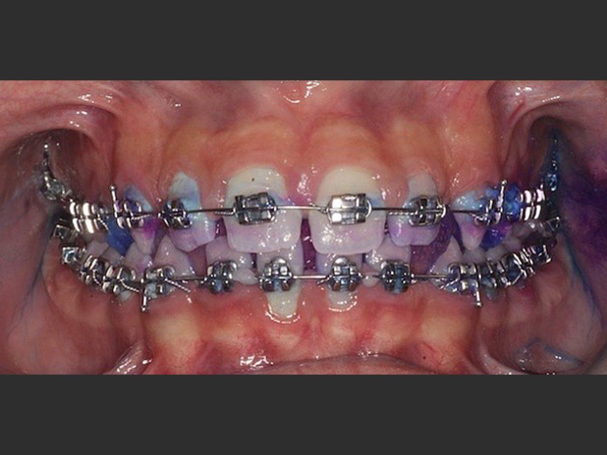
Di fatto i pazienti del gruppo I hanno riscontrato miglioramenti significativi rispetto al gruppo II, nel tempo di follow-up (Figg. 1, 2).
Conclusione
Prendendo in considerazione l’analisi statistica si può affermare che nella terapia di mantenimento durante il trattamento ortodontico, il dentifricio Biorepair Peribioma costituisce un valido alleato nel mantenimento dell’equilibrio microbico e della salute orale. Ruolo fondamentale nella sperimentazione è quello dell’istruzione e motivazione del paziente alle corrette manovre di igiene orale domiciliare, influenzando così il miglioramento generale degli indici. Ampiezza del campione e durata della sperimentazione costituiscono un limite dello studio, che sarà continuato e approfondito nel tempo per valutare gli effetti a lungo termine.
Bibliografia
1. A. J. Ireland, V. Soro, S. V. Sprague, N. W. T. Harradine “The effects of different orthodontic appliances upon microbial communities”.
2. Papageorgiou SN, Xavier GM, Cobourne MT, Eliades T. “Effect of orthodontic treatment on the subgingival microbiota: A systematic review and meta-analysis”.
3. Guo R, Lin Y, Zheng Y, Li W. “The microbial changes in subgingival plaques of orthodontic patients: a systematic review and meta-analysis of clinical trials”.
4. Kim SH, Choi DS, Jang I, Cha BK, Jost-Brinkmann PG, Song JS. “Microbiologic changes in subgingival plaque before and during the early period of orthodontic treatment”.
5. Kim K, Jung WS, Cho S, Ahn SJ. “Changes in salivary periodontal pathogens after orthodontic treatment: An in vivo prospective study”.
6. Eroglu AK, Baka ZM, Arslan U. “Comparative evaluation of salivary microbial levels and periodontal status of patients wearing fixed and removable orthodontic retainers.
#dida#
Grafico 1 - Rappresentazione dell’andamento dell’indice di placca IP nel follow-up, per le diverse tipologie di ortodonzia.
Tab. 1 - Valori delle medie dei risultati inerenti a IP nel Gruppo I, per tutte le tipologie di ortodonzia.
Tab. 2 - Valori delle medie dei risultati inerenti a IP nel Gruppo II, per tutte le tipologie di ortodonzia.
Grafico 2 - Rappresentazione dell’andamento dell’indice di sanguinamento BOP nel follow-up, per le diverse tipologie di ortodonzia.
Tab. 3 - Valori delle medie dei risultati inerenti a BOP nel Gruppo I, per tutte le tipologie di ortodonzia.
Tab. 4 - Valori delle medie dei risultati inerenti a BOP nel Gruppo II, per tutte le tipologie di ortodonzia.
Grafico 3 - Rappresentazione dell’andamento dell’indice profondità di sondaggio PPD nel follow-up, per le diverse tipologie di ortodonzia.
Tab. 5 - Valori delle medie dei risultati PPD nel Gruppo I, per tutte le tipologie di ortodonzia.
Tab. 6 - Valori delle medie dei risultati inerenti a PPD nel Gruppo II, per tutte le tipologie di ortodonzia.
Fig. 1 - Case report di ortodonzia tradizionale. Fotografia frontale a t0 con rilevatore di placca.
Fig. 2 - Case report di ortodonzia tradizionale: Fotografia frontale a t2 con rilevatore di placca.














