Saverio Cosola^, Ester Tugnolo*, Giacomo Oldoini°, Annamaria Genovesi”
^: DDS, MSc, research-felllow Istituto Stomatologico Toscano, coordinatore master
*: RDH, Master in terapia parodontale non chirurgica – Unicamillus presso Istituto Stomatologico Toscano
°: RDH, DHA, MSc, research-felllow Istituto Stomatologico Toscano, coordinatore master
“: RDH, DHA, MSc, direttore del master, Istituto Stomatologico Toscano
Introduzione
La nuova classificazione delle malattie parodontali e perimplantari è il risultato del World Workshop che si è tenuto a Chicago nel novembre 2017 e aggiorna la versione precedente del 1999. L’obiettivo principale di questa classificazione è quello di facilitare lo screening e la diagnosi delle malattie parodontali e perimplantari e promuovere una terapia personalizzata sul singolo paziente. (1)
Una revisione del 2011 ha concluso che il microbiota associato alle malattie perimplantari è di tipo anaerobio misto, con una composizione simile a quella del microbiota subgengivale della parodontite cronica. (2)
Lo scopo di questo case report è valutare clinicamente l'uso di una terapia reattiva iniziale di 10 giorni basata sull'azione disinfettante del nitradine. Per tale scopo, quindi, è consigliato al paziente di utilizzare PerioTabs® (bonyf) a base di NitrAdine®, compresse solubili in acqua che sono utilizzate in alternativa al dentifricio per disinfettare e preparare lo spazzolino alle manovre di igiene orale domiciliare. Viene consigliato di immergere solamente la testa dello spazzolino, in questo caso sonico, in un bicchiere contenente la soluzione a base di nitradine per avere una disinfezione delle setole e del cavo orale con riduzione dell'infiammazione gengivale di un paziente con malattia parodontale e mucosite perimplantare.
Lo scopo di questo studio è dimostrare che l'uso di 10 giorni di PerioTabs® (bonyf) a base di NitrAdine® è efficace nel trattamento dell'infiammazione gengivale di un paziente con mucosite perimplantare. (3)
Diversi studi hanno dimostrato che NitrAdine® induce una significativa riduzione del biofilm dentale e si basa sulla combinazione di un’alta concentrazione di tensioattivi (SLS) e altri ingredienti. I tensioattivi denaturano le proteine della membrana del biofilm, composto da microrganismi, mentre gli altri ingredienti determinano un lento rilascio di una concentrazione bassa e non tossica di ipoclorito allo 0.02%, che ha la funzione di uccidere tutti i microrganismi (batteri, funghi e virus) presenti nel biofilm. (4) PerioTabs® è una formula antibatterica e antifungina che si presenta in compresse nata, in principio, per l’igiene e la disinfezione domiciliare delle protesi rimovibili. Diversi studi su questo prodotto e un cambio nella composizione percentuale di ipoclorito, hanno permesso l’estensione dell’utilizzo del prodotto anche per ridurre gengivite, parodontite, mucosite e perimplantite. (5,6) Tramite le analisi microbiologiche si auspica di rilevare se e come si modifica il microbiota in seguito all’utilizzo di questo prodotto.
Materiali e metodi
Un soggetto con mucosite perimplantare e gengivite generalizzata è stato monitorato per un totale di novanta giorni, registrando diversi parametri clinici ed effettuando foto intraorali a ogni time point: al primo appuntamento (T0), dopo dieci giorni (T1) e a distanza di quarantacinque (T2) e novanta giorni (T3) dal primo appuntamento.
I parametri clinici rilevati sono indice di placca (P.I.), indice di sanguinamento (BoP), profondità di sondaggio (PDD), perdita di attacco clinico (CAL) e recessioni gengivali. Per la rilevazione dei parametri è stata utilizzata una sonda millimetrica parodontale CP15 con punta tonda con tacche più larghe ogni 5mm per un miglior riconoscimento della profondità di sondaggio.
Sono state effettuate anche delle analisi microbiologiche, prelevando campioni di saliva a T0 e T1 e un campione dello spazzolino utilizzato fino a quel momento dal paziente a T1. Tramite analisi colturale si è ricercata la presenza di P. gingivalis, T. denticola, T. forsythia, F. nucleatum e A. actinomycetemcomitans.
La raccolta dei campioni di saliva prevede uno sciacquo orale con soluzione fisiologica, secondo il protocollo PLCO. Il materiale utilizzato per il prelievo è il seguente: riunito dentale standard con una buona illuminazione, cronometro, soluzione fisiologica sodio cloruro S.A.L.F. 0,9%, siringa sterile da 10 ml, contenitore sterile in polipropilene da 100 ml, etichetta, sacchetto di plastica per racchiudere le provette contenenti i campioni raccolti e una piccola borsa refrigerante con ghiaccio per il trasporto al laboratorio microbiologico per la lavorazione dei prelievi.
10 ml di fisiologica sterile sono stati spruzzati nel cavo orale dall’operatore utilizzando una siringa sterile alla quale era stato precedentemente tolto l’ago. Il soggetto ha mantenuto la soluzione salina in bocca per 45 secondi. È stato chiesto di non fare gargarismi, ma di scuotere vigorosamente la fisiologica come se fosse un collutorio antimicrobico e di sputare la fisiologica nel contenitore. È stato necessario ripetere più volte l’operazione per ottenere almeno 50 ml di saliva come richiesto dal laboratorio. L’effettiva chiusura del contenitore è stata verificata dallo sperimentatore. Infine, sul contenitore è stata attaccata l’apposita etichetta con indicata la data e il tipo di campione.
Il prelievo di campione dello spazzolino è stato effettuato immergendo la testina dello spazzolino per cinque minuti in 50ml di soluzione fisiologica sodio cloruro S.A.L.F. 0,9% versata in un contenitore sterile in polipropilene tramite una siringa sterile. Il contenitore è stato poi chiuso ed è stata applicata l’apposita etichetta con indicata la data e il tipo di campione.
I campioni sono stati posti in una borsa refrigerante con ghiaccio e trasportati al laboratorio per l’analisi microbiologica.
Al primo appuntamento (T0) il soggetto è stato visitato, sono stati rilevati i dati anamnestici, clinici, e radiografici ed è stato prelevato un campione di saliva.
È stata effettuata la prima fase del trattamento, ovvero l’istruzione e la motivazione, in cui il paziente è stato adeguatamente informato sul suo stato di salute orale e le eventuali ripercussioni di questo sul suo stato di salute generale. Inoltre, gli sono state fornite le indicazioni relative all’igiene orale domiciliare che avrebbe dovuto seguire scrupolosamente per i dieci giorni successivi. In particolare, è stato motivato all’uso di:
· spazzolino elettrico roto-oscillante con testina a setole morbide che il paziente utilizza da anni;
· scovolino TePe con anima centrale ricoperta di plastica per una sicura e delicata pulizia attorno ai denti naturali e agli impianti;
· uso di un agente antimicrobico e anti-infiammatorio, in questo caso PerioTabs®, che consiste di dieci compresse a base di NitrAdine®. La procedura di applicazione si basa sullo spazzolare i denti con le compresse fornite, disciolte in 15ml di acqua tiepida per dieci giorni. Quando la compressa si è disciolta, si immerge lo spazzolino da denti nella soluzione per 15 minuti. Questo permette alle setole di assorbire la soluzione di PerioTabs® prima di procedere all’applicazione. Il paziente deve quindi spazzolare i denti con la soluzione per 2 minuti. Dopo il trattamento si risciacqua abbondantemente con acqua. Questo procedimento deve essere effettuato alla sera, mentre al mattino il paziente spazzola i denti senza alcun dentifricio.
Dopo dieci giorni dalla prima visita e dalle istruzioni di igiene orale domiciliare (T1), il paziente viene sottoposto a una seduta di trattamento parodontale non chirurgico, prima della quale vengono nuovamente registrati tutti i parametri clinici e prelevati i campioni della saliva e dello spazzolino.
La Full-Mounth Disinfection a livello dei due elementi implantari, consiste in due fasi: inizialmente, deplaquing con ablatore a ultrasuoni con inserto in peek per evitare di alterare la superficie degli impianti e delle corone protesiche e, successivamente, air-polishing sopragengivale con polvere AIR-FLOW® powder PLUS a base di eritritolo contenente lo 0,3% di clorexidina, a granulometria di 14 μm, con un tempo di applicazione di 5 secondi per ogni sito facendo piccoli movimenti verticali e orizzontali. Infine, il paziente è stato nuovamente motivato ad una terapia di mantenimento, terminata la prima fase “reattiva” con il nitradine, una terapia di mantenimento che supporti la guarigione e mantenga lo stato di salute appena raggiunto. Vista la difficoltà del paziente di detergere correttamente gli spazi interprossimali è stato consigliato di utilizzare anche scovolini in gomma sottili (SoftPick TePe® arancioni) ed è stato motivato all’utilizzo del dentifricio Emoform® Glic che garantisce un’efficace azione antiossidante grazie al sistema LBC Complex, un sistema di rilascio graduale della lattoferrina, che le garantisce elevata stabilità e biodisponiblità. La formula si completa con glicerina, acido ialuronico e menta piemontese. Al dentifricio è stato consigliato l’abbinamento del collutorio Emoform® Glic, per arrivare in quelle zone difficilmente raggiungibili con lo spazzolino. L’uso quotidiano, combinato con il dentifricio, aiuta a ripristinare l’equilibrio della bocca e a proteggerla dal rischio di infezioni.
Dopo quarantacinque (T2) e novanta giorni (T3) dalla prima seduta (T0), è stato valutato il livello di mantenimento del paziente e l’eventuale necessità di rinforzo della motivazione. A T3 è stato effettuato il deplaquing di mantenimento tramite air-polishing sopragengivale con polvere AIR-FLOW® powder PLUS a base di eritritolo finalizzato a mantenere l’equilibrio microbiologico raggiunto.
Risultati
Il paziente di questo case-report è un uomo di 52 anni, che non presenta patologie sistemiche, non fuma e non assume farmaci in modo abitudinario. Ha due impianti dentali posizionati dieci anni prima in zona 2.5 e 2.6 (Fig 1) con mucosite.
#dida Fig. 1: Ortopantomografia al baseline
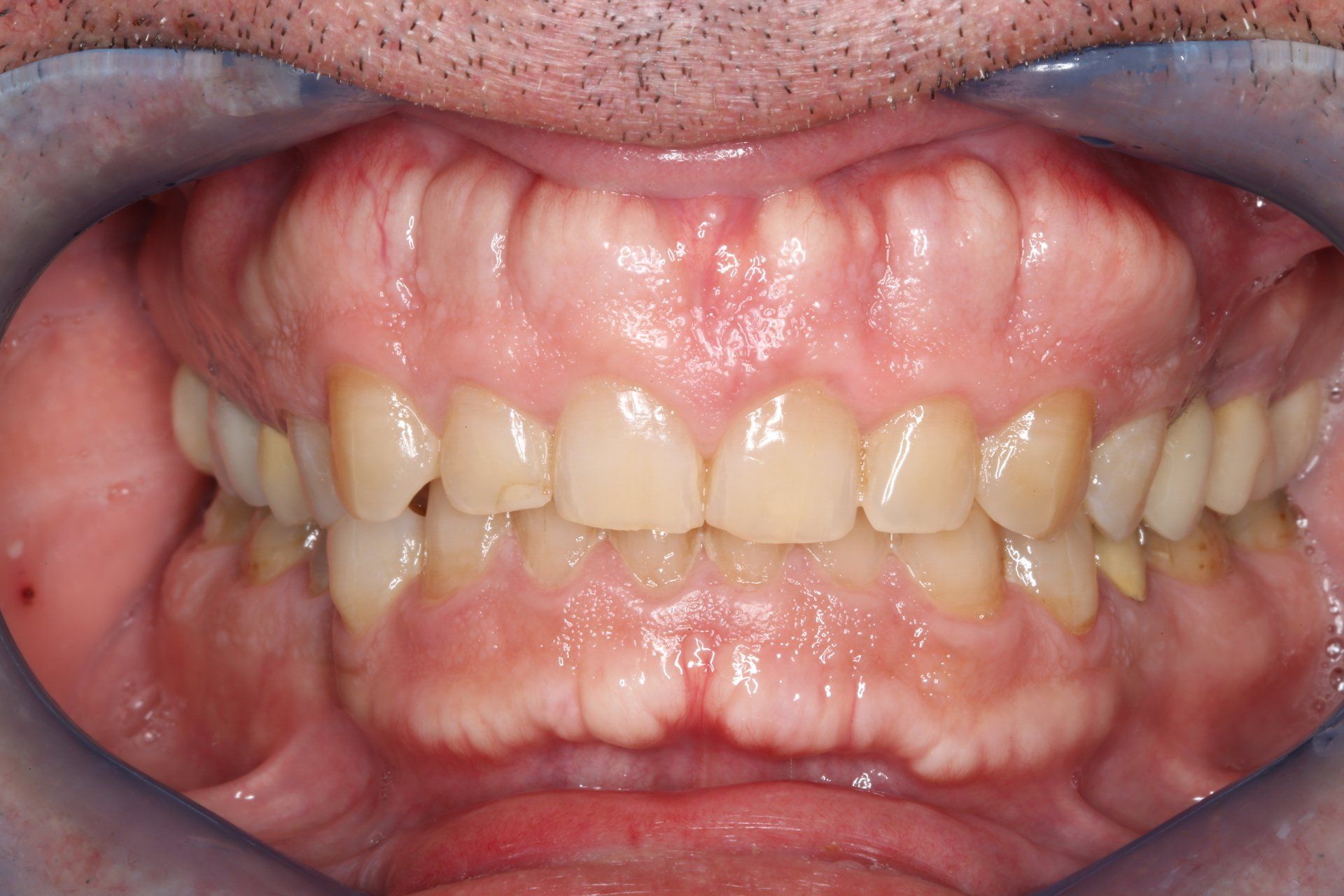
Il paziente si presenta al primo appuntamento (T0) lamentando dolore nella zona degli impianti. A seguito degli esami effettuati è stata diagnosticata una gengivite generalizzata e mucosite perimplantare (Fig. 2, 3, 4).
#dida Fig. 2: Foto frontale T0
#dida Fig. 3: Foto laterale di sinistra
#dida Fig. 4: Foto dettaglio palatale di sinistra
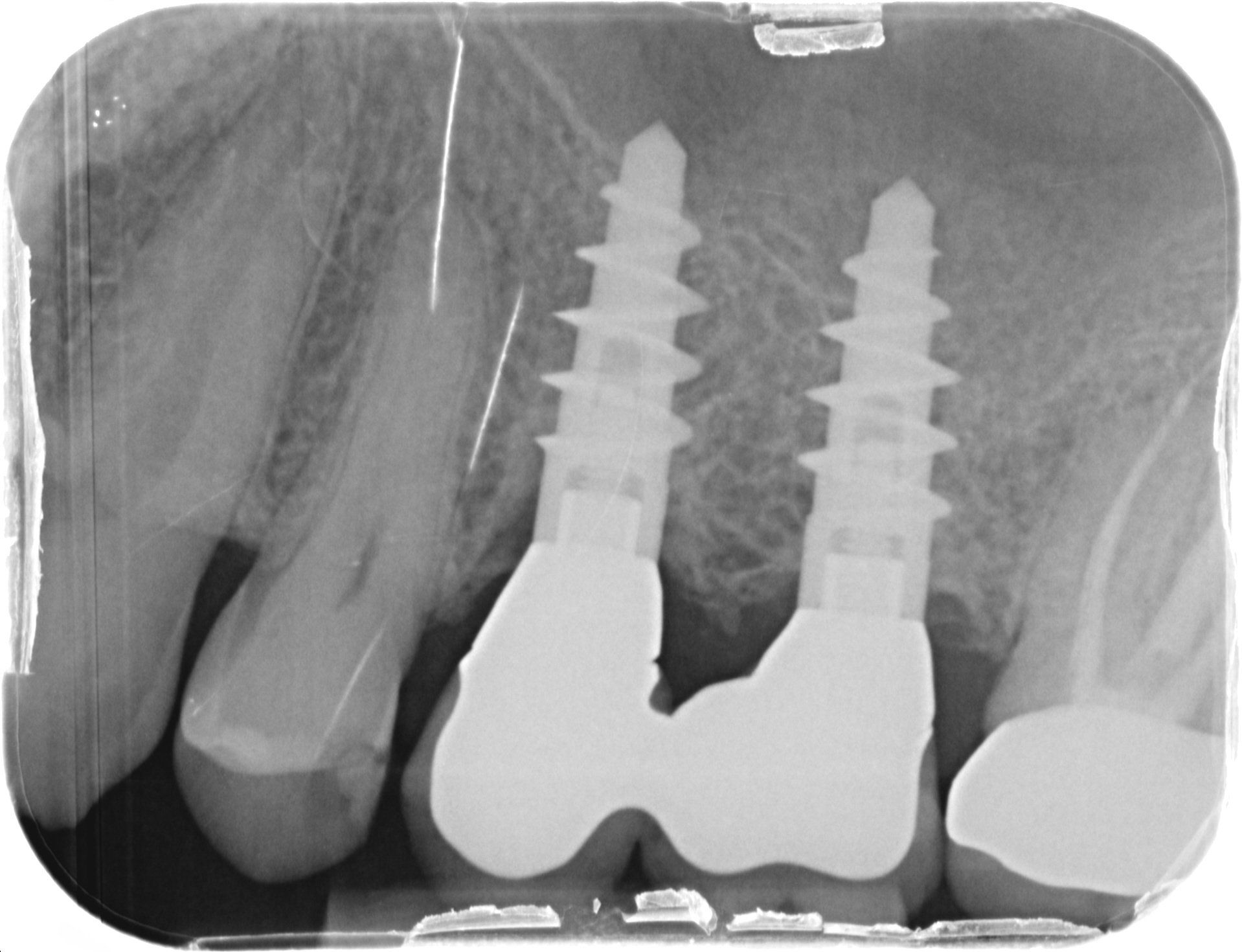
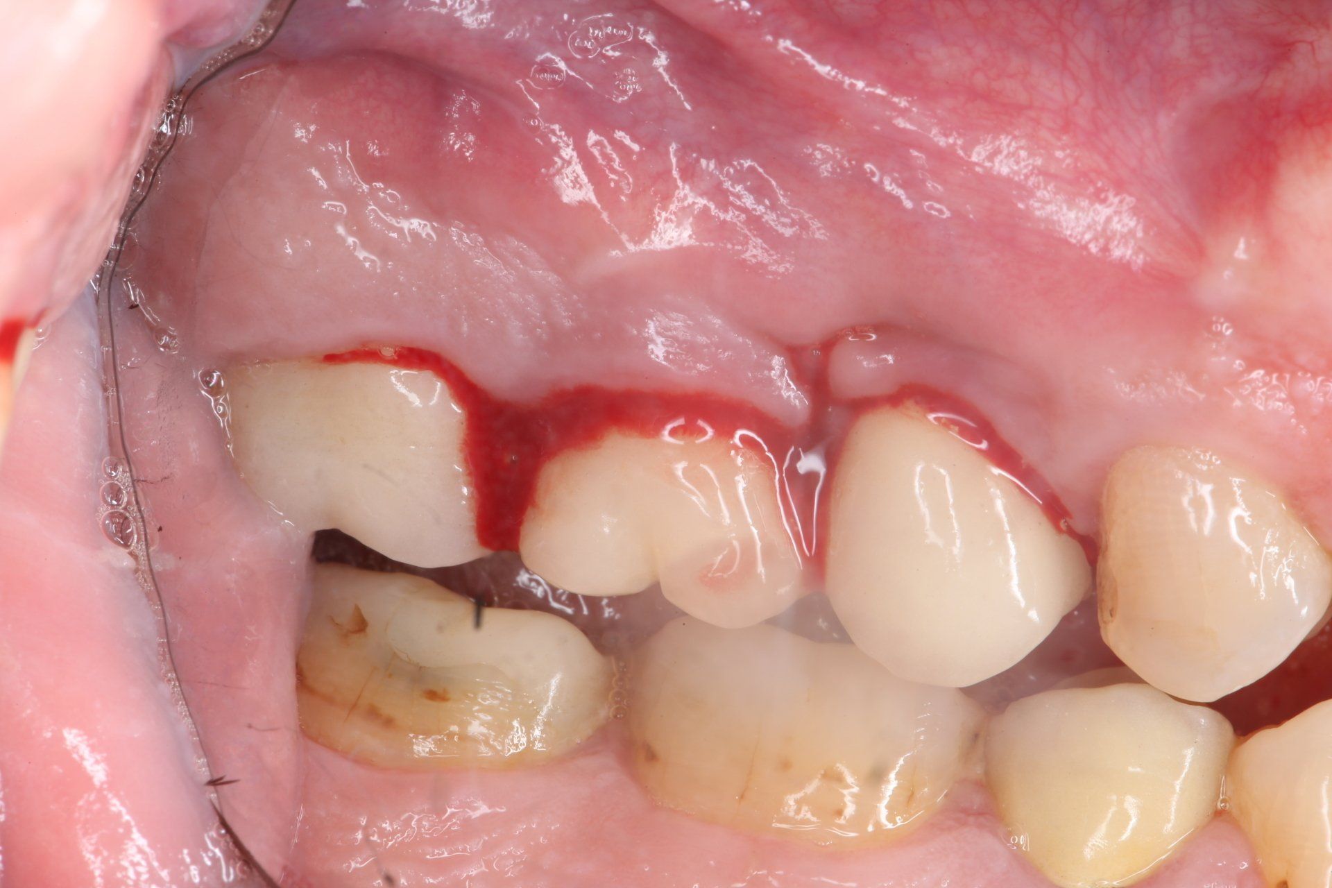
Come evidenziabile dalla cartella parodontale sottostante (Fig. 5) il P.I. corrisponde al 92%, il BoP al 99% con sanguinamento abbondante in zona 2.5 e 2.6 (Fig. 6). L’assenza di perdita di osso radiografica è stata confermata dalla radiografia endorale (Fig. 7).
#dida Fig. 5: Cartella parodontale a T0
#dida Fig. 6: Sanguinamento al sondaggio zona 2.5-2.6 a T0
#dida Fig.7: Radiografia endorale a T0
Dopo dieci giorni (T1) di utilizzo di PerioTabs®, si è notato un miglioramento dal punto di vista clinico (Fig. 8 e 9). Il P.I. è sceso al 57%, il BoP al 26% e sono diminuite anche le profondità di sondaggio (Fig. 10).
#dida Fig. 8: Foto frontale a T1 prima di FMD
#dida Fig. 9.1 e 9.2: Foto laterale zona 2.5-2.6 a T1 prima e dopo il sondaggio
#dida Fig. 10: Cartella parodontale a T1
Il risultato estetico e l’aspetto clinico della salute tissutale è evidente a T2 (Fig. 11 e 12). Da notare un ulteriore miglioramento del P.I. sceso al 12% e del BoP diminuito al 2% (Fig. 13) dopo un'aggiuntiva istruzione e motivazione all’igiene orale domiciliare con l’uso dello spazzolino.
#dida Fig. 11: Foto frontale a T2
#dida Fig. 12: Foto dettaglio zona 2.5 e 2.6 a T2
#dida Fig. 13: Cartella parodontale a T2
Dopo novanta giorni (T3) si evidenzia una situazione di stabilità (Fig. 14, 15 e 16). Il P.I. corrisponde all’ 8% e il BoP all’1% (Fig. 17).
#dida Fig. 14: Foto frontale a T3
#dida Fig. 15: Foto dettaglio zona 2.5 e 2.6 a T3
#dida Fig.16: Radiografia endorale a T3
#dida Fig. 17: Cartella parodontale a T3
Le analisi microbiologiche sulle setole della testina dello spazzolino non hanno rilevato la presenza dei batteri ricercati, mentre evidenziano la presenza di batteri ambientali che non appartengono al “ceppo rosso o arancione” delle patologie infiammatorie orali. I batteri ritrovati in bassissima quantità, non statisticamente e clinicamente significativi, sono i seguenti: Klesbiella pneumoniae, Serratia liquefacens e marcescens e Citrobacter freundi (Fig. 18).
#dida Fig. 18: Analisi diagnostiche
Discussione
Il microbiota orale è attivamente coinvolto nella salute complessiva dell’ospite e la compromissione dell’omeostasi del cavo orale può portare all’instaurarsi di diversi quadri patologici.
L’obiettivo principale, nell’era della prevenzione, è mantenere un buon livello di igiene orale, il quale, nella gran parte dei casi, porta a benefici anche sulla salute sistemica. Ognuno di noi convive con i propri batteri in modo costante. È fondamentale focalizzarsi sulla lungimiranza di una cura nel tempo, e soprattutto sulla compliance del paziente, che deve essere attiva e cosciente, adottando protocolli personalizzati in base alle singole esigenze.
La MFMD (Modified Full-Mounth Disinfection) della Prof.ssa Anna Maria Genovesi e della Fondazione Istituto Stomatologico Toscano, con un approccio domiciliare reattivo iniziale, consente agli operatori di lavorare con maggiore predicibilità, ottimi risultati estetici e minimo dolore per il paziente; inoltre, una terapia di supporto proattiva post-trattamento consente di mantenere il risultato di salute ottenuto nel tempo. (3) Al primo appuntamento non viene eseguita alcuna strumentazione, ma istruzione e motivazione: esplicare in modo dettagliato le manovre d’igiene più idonee, mostrare gli ausili da utilizzare ed spiegare la placca batterica e le malattie correlate al cavo orale. Il paziente, seguite le indicazioni fornite, si presenta in seconda seduta con auspicabile miglioramento clinico, con minor sanguinamento, placca e gonfiore per sottoporsi alla seduta di igiene orale professionale.
La Clorexidina è la formula maggiormente consigliata nella prima fase domiciliare perché è ad ampio spettro d’azione, attiva verso i batteri Gram-positivi e Gram-negativi e verso i miceti. Nonostante la decennale efficacia dimostrata della Clorexidina, si stanno valutando sostituti validi per ovviare agli effetti indesiderati che essa presenta, che possono essere suddivisi in rari, inusuali e comuni. Effetti indesiderati rari possono essere segni di reazioni allergiche come congestione nasale, fiato corto o difficoltà a respirare, rash cutanei, sudori freddi, prurito, gonfiore del viso. Effetti collaterali inusuali sono: irritazione di bocca e/o gola, gonfiore delle ghiandole salivari sottomandibolari e del collo, irritazione della punta della lingua, desquamazione e/o indolenzimento delle mucose orali e presenza di macchie bianche sulle mucose. Più comuni sono, invece, alterazione del gusto e diminuzione della percezione dei sapori, aumento del tartaro sulla superficie dei denti, sensazione di bocca asciutta, pigmentazione di denti, restauri o protesi, mucose e lingua. Un’altra controindicazione della Clorexidina, infine, è legata proprio alla sua natura di disinfettante ad ampio spettro d’azione. Alla luce delle nuove conoscenze riguardanti il microbioma orale e la sua importanza nell’ambito odontoiatrico, può essere visto negativamente il fatto che vengano attaccati non solo i batteri Gram-negativi, ma anche quelli Gram-positivi, andando ad interrompere la situazione di equilibrio tra le comunità microbiche (eubiosi).
Dopo aver analizzato le principali caratteristiche del prodotto, si potrebbe dunque pensare di sostituire la Clorexidina con la formula a base di NitrAdine® nei dieci giorni precedenti la seduta d’igiene professionale per diminuire l’infiammazione gengivale. È stato dimostrato che NitrAdine® determina il lento rilascio di una concentrazione non citotossica di ipoclorito di sodio[i]. Inoltre, contiene un'elevata concentrazione di tensioattivo che si traduce in una potente attività anti-biofilm contro Candida albicans, Staphylococcus aureus, Streptococcus mutans e Pseudomonas aeruginosa come riportato in precedenza da studi in vitro. (7-10)
Negli ultimi anni l'ipoclorito di sodio è stato utilizzato con successo in aggiunta alla terapia parodontale non chirurgica. Un recente studio ha dimostrato che il collutorio con ipoclorito di sodio allo 0,2% è efficace, in termini di sicurezza, come il collutorio con clorexidina allo 0,2% per il trattamento di gengiviti in aggiunta alla rimozione meccanica della placca. Presenta, tuttavia, minori effetti avversi e minor quantità di pigmentazioni e può essere usato come un collutorio di routine. Al contrario, un altro recente studio[ii] ha riportato che un collutorio a base di ipoclorito di sodio allo 0,1% non ha fornito ulteriori vantaggi al debridement ultrasonico nel ridurre la placca sopragengivale, la gengivite e gli agenti patogeni microbici.
Uno studio del 2017, su pazienti con malattia parodontale, ha mostrato che spazzolare i denti per 10 giorni utilizzando PerioTabs® porta a una significativa riduzione dei batteri patogeni, inclusi Porphyromonas gingivalis, Prevotella intermedia e Aggregatibacter actinomycetemcomitans e riduce il numero di microrganismi presenti sulle testine degli spazzolini da denti.(9-10)
Nell’ultimo anno, l’utilizzo di PerioTabs® è stato maggiormente esaminato. Due studi in particolare hanno rilevato, a seguito dell'utilizzo aggiuntivo del trattamento PerioTabs® di 10 giorni nella routine quotidiana di igiene orale, una riduzione statisticamente significativa del sanguinamento gengivale e dell'accumulo di placca.
Un altro studio del 2021 ha determinato l'efficacia, in termini di parametri clinici, dell’uso della formula a base di NitrAdine® associato alla terapia parodontale non chirurgica, abbinata all'uso domestico di NitrAdine®, aiuta a risolvere la malattia parodontale. (11)
I risultati delle analisi microbiologiche, invece, non hanno evidenziato la presenza dei batteri ricercati anche se va sottolineato che le tecniche di analisi colturale presentano dei limiti. Tali metodi richiedono un grande impegno di tipo umano e la corretta esecuzione di tutte le fasi del processo come, ad esempio, la modalità di prelievo, trasporto e trattamento del campione, la scelta dei terreni di primo isolamento, l’incubazione delle colture e l’identificazione delle specie batteriche. Per ridurre al minimo l’errore umano e riuscire a individuare anche l’eventuale ridotta presenza di questi microrganismi, sarebbe meglio ricorrere alle nuove tecniche molecolari, quali la Next Generation Sequencing (NGS) e Whole Genome Sequencing, (WGS), che consentono l’amplificazione di frammenti batterici di piccole dimensioni. È interessante rimarcare, però, la presenza di Klebsiella pneumoniae che è oggi riconosciuta come una minaccia urgente per la salute umana a causa dell'emergere di ceppi multiresistenti associati a epidemie ospedaliere e ceppi ipervirulenti legati a gravi infezioni acquisite in comunità.
Conclusione
Il presente studio conferma che l’approccio clinico migliore per ridurre l’infiammazione dei tessuti gengivali attorno ai denti naturali e agli impianti è la Full-Mouth Disinfection Modificata: fornire conoscenza e attribuire responsabilità al paziente genera un cambiamento positivo che porta al mantenimento della salute orale nel lungo periodo.
La guarigione è determinata da molteplici aspetti, quello decisivo è la compliance del soggetto. Il peso che si dà alla prima parte della terapia è centrale nel trattamento di supporto che segue. I pazienti diventano più consapevoli e si sentono i veri protagonisti per il mantenimento della propria salute, sia orale che sistemica. Il protocollo di motivazione alla decontaminazione domiciliare prima dell’esecuzione di una seduta di FMD, inoltre, riduce lo stato infiammatorio dei tessuti parodontali e migliora i parametri clinici aumentando l’efficacia della procedura professionale dell’operatore. Il ridotto BoP al momento del debridement aumenta la soddisfazione del paziente in termini di dolore percepito durante la strumentazione.
Nuovi protocolli sono all’ordine del giorno e un ottimo sostituto della Clorexidina potrebbe essere la formula a base di NitrAdine® per mantenere gli stessi effetti antimicrobici iniziali ma con minor effetti collaterali. A causa dei molti svantaggi della Clorexidina, infatti, NitrAdine® sembra essere un'alternativa promettente. PerioTabs® si è dimostrato un ottimo prodotto per la terapia reattiva domiciliare con buoni risultati in termini di riduzione dell’infiammazione gengivale anche se è emerso che il più frequente evento avverso sia il cattivo sapore. Pertanto, è ragionevole supporre che la formulazione possa essere da considerarsi un efficace coadiuvante di una corretta tecnica di spazzolamento nel controllo della placca batterica sopragengivale, sebbene sia consigliabile migliorarne il sapore.
















