Giorgia Damoli, Laureata in igiene dentale a Verona
Cavo orale e salute sistemica
Le malattie della bocca al giorno d’oggi colpiscono 1 individuo su 2, circa 3,5 miliardi di persone al mondo. Già nel 2010 la parodontite severa era la sesta malattia più diffusa, con un incidenza del 10,8% nella popolazione (743 di milioni di persone). La carie è la problematica più comune a livello globale con una crescente prevalenza nelle classi sociali più disagiate. Inoltre, aspetto più infausto; il cancro del cavo orale è tra i quindici più comuni tumori a livello mondiale, con 500.550 casi e 177.384 morti nel 20181.
Strumento essenziale per contrastare le infezioni, è l’antibiotico. Ma un suo utilizzo smoderato e inappropriato ha conseguenze deleterie: annualmente in Europa si verificano 4 milioni di infezioni causate da germi antibiotico-resistenti con oltre 37.000 decessi. Si intravede un risvolto positivo grazie alle strategie attuate dai vari paesi europei2. Non bisogna però dimenticare l’allarme annunciato nel 2018: «nel 2050 l’antibiotico resistenza sarà la prima causa di morte»3.
Per invertire tale situazione, nell’odontoiatria in particolare si deve cambiare direzione: non affrontare più le patologie nell’immediato ma avere una visione più ampia e completa del paziente. Decisivo focalizzarsi sulla lungimiranza di una cura nel tempo, e soprattutto sulla compliance del paziente. Che deve essere quindi attiva e cosciente, i protocolli attuati devono essere personalizzati in base alle singole esigenze, studiati e spiegati all’interessato.
La fase più delicata e fondamentale per una buona terapia è il mantenimento domiciliare del paziente. Suggerire prodotti che siano in grado di mimare la composizione dei tessuti danneggiati e legarsi in armonia con il substrato, per ricreare un campo in salute e divenire organo positivo per i distretti correlati.
Le tecniche di oggi per il domani
Nel presente, si può parlare di guarigione e benessere solo quando c’è una risoluzione della patologia collegata ed intesa in un contesto più ampio, con l’intero organismo ospite. Non si possono più fare distinzioni distrettuali, ogni microrganismo è complice e benefattore della salute generale4.
Con il termine microbioma si indica “ un insieme di genomi di microrganismi che vivono in una specifica nicchia e il gruppo di microrganismi stessi, come batteri, funghi o archèi, è chiamato microbiota”5. In ambito odontoiatrico si può affermare come questo abbia peculiarità specifiche in ognuno di noi, a plasmare una vera e propria “impronta digitale”.
Nei decenni passati si abbracciava un protocollo di tipo “re-active”, in cui veniva proposto un principio attivo come risoluzione e i sistemi di guarigione fisiologici abbattuti. Con l’avanzare delle tecnologie e degli studi, oggi si adotta un approccio “pro-attivo”, con lo scopo di promuovere e aumentare l’efficacia dei sistemi di remissione. Ozono e probiotici esempi d’elezione.
L’obiettivo principale, nell’era della prevenzione, è mantenere un buon livello di igiene orale, il quale, nella gran parte dei casi, porta ad avere anche una buona salute sistemica. Ognuno di noi convive con i propri batteri in modo costante, introducendo il concetto di simbiosi, dal greco “convivere”.
Anche i protocolli parodontali non chirurgici hanno visto una loro evoluzione: QRP prima e FMD poi. Una ricerca afferma che non vi sono controindicazioni cliniche con nessuno dei seguenti modelli terapeutici: FMD, FMS (Full Mouth Scaling e root planing) e QRP; ciò che emerge è l’importanza della compliance domiciliare del paziente6.
Nel 2014 sulla base di ciò è stato elaborato un differente approccio al protocollo FMD7 : la full mouth disinfection modificata (A. M. Genovesi et al). E grazie all’Istituto Stomatologico Toscano e ai relativi master, diretti dalla prof.ssa Genovesi, sta iniziando a porre le proprie radici e divenendo una tecnica sempre più conosciuta e consolidata a livello nazionale. Al primo appuntamento non viene eseguita alcuna strumentazione, bensì è basato sulla motivazione: esplicate in modo dettagliato le manovre d’igiene più idonee, mostrati gli ausili da utilizzare ed illustrata la placca batterica, le malattie correlate al cavo orale. In particolare la parodontite con relative cause e possibili conseguenze, locali e sistemiche, se non curata. Il paziente è reso ancora più partecipe in tutto il percorso terapeutico. La disinfezione domiciliare antecedente all’igiene mantiene il modello della FMD. Il paziente seguite le indicazioni, si presenta in seconda seduta con auspicabile miglioramento clinico, con minor sanguinamento, placca e gonfiore:
- Si fa sciacquare per 60’’ con clorexidina 0,20%;
- Si esegue trattamento con strumenti manuali ed ultrasuoni, scaling e root planing in un’ unica seduta;
- Si esegue ozono per 5’.
Casi clinici
I: Paziente maschio con anamnesi negativa, fumatore. Lamenta un forte fastidio a livello gengivale, riferisce sanguinamento durante lo spazzolamento e talvolta al mattino di trovare sangue sul guanciale. All’esame obiettivo si vedono mucose molto infiammate ed indebolite, papille decapitate, cospicua placca batterica diffusa, tartaro e solo alcune spicole sottogengiva. Patina a livello del dorso linguale.
II: Paziente donna con anamnesi negativa, si lamenta di un fastidio gengivale, non localizzato, riportando difficoltà nell’igiene quotidiana. All’esame obiettivo presenta molto tartaro soprattutto a livello sub-gengivale, placca generalizzata, papille gonfie e sanguinamento al sondaggio, in particolare nel II e V sestante. Gli elementi dentari hanno marcate decalcificazioni e abrasioni, dovute allo spazzolamento vigoroso con setole medio/dure.
Caso I
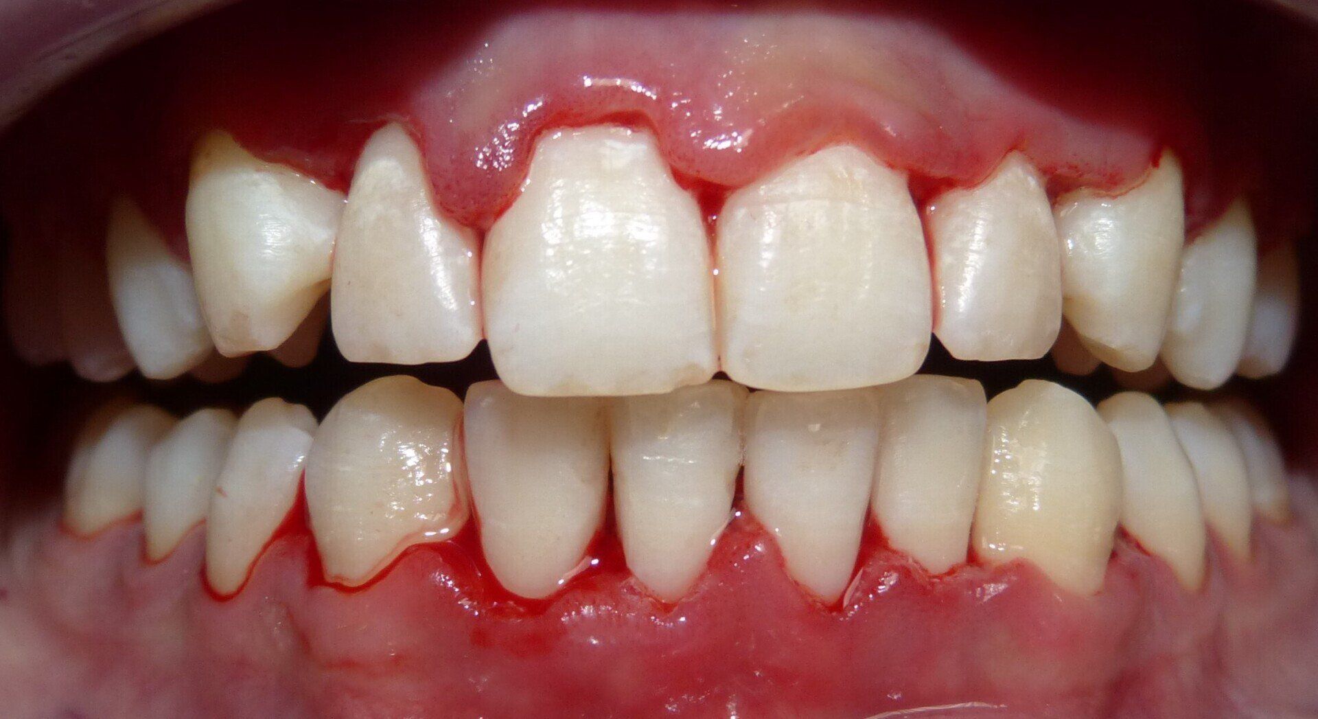
T0: in prima seduta viene effettuato l’esame obiettivo, con registro dei parametri parodontali (Pi, Bop e Ppd), si chiedono le abitudini di igiene domiciliare e viene poi eseguita motivazione e spiegazione riguardo il cavo orale. In questo caso svolta una prima fase di consulenza anti-tabagismo, facendo notare le conseguenze che si hanno anche a livello del cavo orale, con percentuale sempre maggiore di lesioni cancerose8. Il paziente utilizzava in precedenza spazzolino elettrico ma ultimamente è passato ad uno spazzolino manuale causa il dolore: viene quindi mostrata la tecnica di spazzolamento corretta con dispositivo elettrico, testina con setole morbide, dove possibile, mentre nelle zone più cruciali, viene mostrato l’utilizzo di spazzolino manuale chirurgico, da utilizzare con tecnica rotatoria. Per igiene interprossimale mostrato scovolino in silicone misure small, medium e pulisci lingua. Prescritto collutorio clorexidina 0,20% per 15 giorni, 2 volte al giorno per 1 minuto e gel clorexidina 1% per pulizia interprossimale e dorso linguale. Il tutto poi ripetuto dal soggetto davanti allo specchio (Fig. 1).
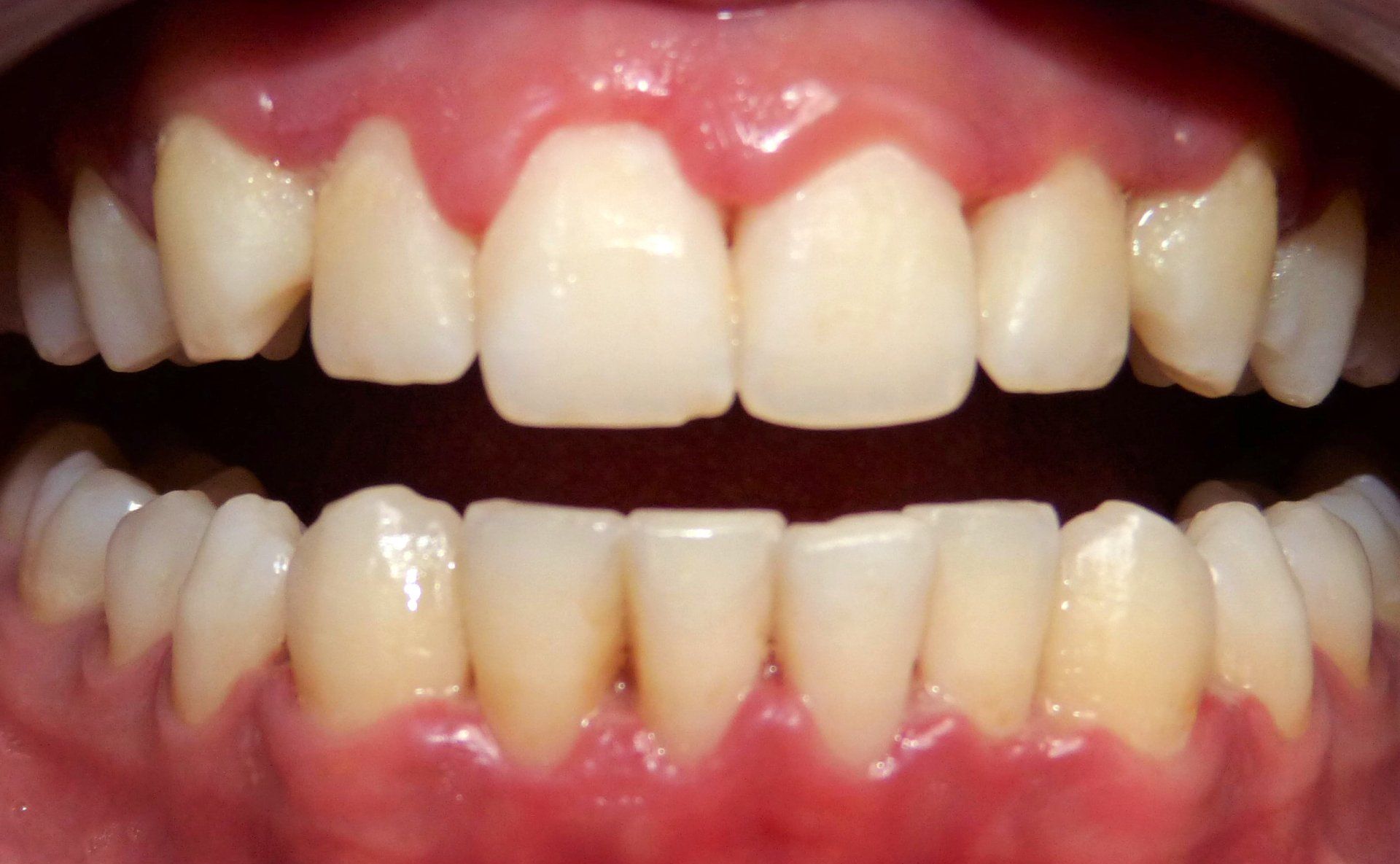
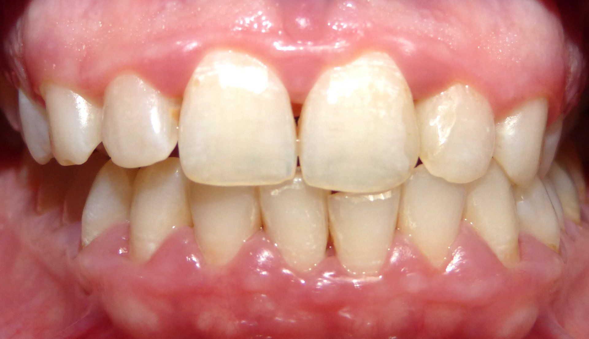
T1: a 15 giorni dalla prima seduta di motivazione, il paziente si presenta in studio riferendo che il dolore iniziale è diminuito notevolmente e di non aver più avuto episodi di sanguinamento spontaneo, di riuscire ad utilizzare lo spazzolino elettrico quotidianamente in tutte le zone e lo scovolino nella maggior parte dei siti. Le gengive appaiono meno rosse e infiammate, e le papille non sono più edematose (soprattutto nel V sestante), la placca batterica (in particolare elementi 1.2 e 1.3) è diminuita in modo tangibile. Si esegue igiene professionale con anestetico locale a base di lidocaina. Si ripassano le tecniche per l’igiene domiciliare e si prescrive dentifricio con lattoferrina9.
Prima della seduta di igiene e dopo la seduta di igiene (Figg. 2, 3).
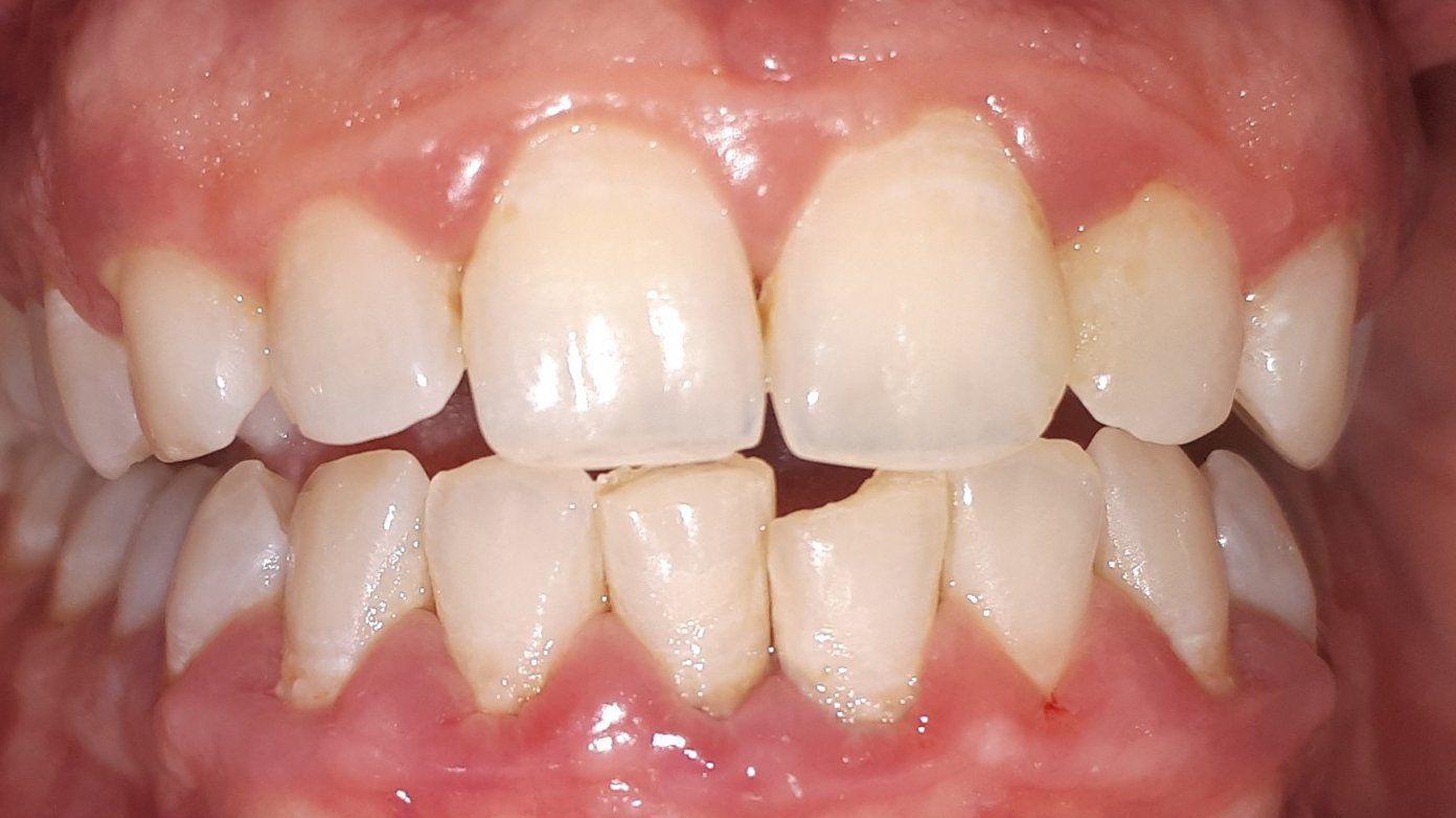
T2: a 15 giorni dalla seduta di igiene orale professionale il paziente si presenta con un significativo miglioramento dei tessuti, in particolare nella papilla interprossimale tra 3.1 e 4.1 e a livello dell’1.3, si notano le gengive con una restitutio ad integrum, colore roseo e la tipica espressione “a buccia d’arancia”. Il controllo della placca batterica da parte del soggetto ha esito positivo, riferisce di avere una maggiore consapevolezza per la salute del proprio cavo orale (Fig. 4).
Caso II
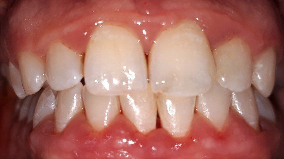
T0: In prima seduta viene effettuato l’ esame obiettivo, raccolti i parametri parodontali (Pi, Bop e Ppd), chiesto circa le abitudini domiciliari e fatta motivazione, con spiegazione del cavo orale. Si mostra la tecnica di spazzolamento adeguata, in questo caso bass modificata. Poiché non propensa al cambiamento di spazzolino gli ausili sono: tipologia manuale setole morbide con filamenti finali sottili; per igiene interprossimale scovolino in silicone misura regular e pulisci lingua. Prescritto collutorio clorexidina 0,20% per 15 giorni, 2 volte al giorno per 1 minuto e gel clorexidina 1% per pulizia interprossimale e dorso linguale. Vengono prima mostrati i movimenti corretti dall’operatore e poi eseguiti dalla paziente stessa davanti allo specchio (Fig. 5).
T1: la paziente, dopo 15 giorni riferisce che il suo stato di benessere è migliorato, riesce ad utilizzare i presidi sopra descritti in modo più continuativo e nota che il sanguinamento durante lo spazzolamento è diminuito. Dopodiché si passa all’esame obiettivo: si nota parziale miglioramento, i tessuti sono più rosei e meno irritati, ridotto il biofilm, soprattutto a livello del cercine gengivale. Si esegue igiene con strumenti ad ultrasuoni e curette. Al termine, si rivedono assieme le manovre d’igiene e gli ausili come ripasso per eventuali dubbi o domande. Alla paziente viene poi prescritto l’utilizzo quotidiano di dentifricio a base di ozono10.
Prima della seduta di igiene e dopo la seduta di igiene (Figg. 6, 7).
T2: Dopo 15 giorni si ripresenta in studio con notevole miglioramento dei tessuti: le gengive sono più rosee e con meno gonfiore (in particolare in corrispondenza dell’elemento 1.3), la paziente riferisce un benessere generale e di aver migliorato i rapporti interpersonali sentendosi meglio con sé stessa (Fig. 8).
Conclusioni
La guarigione è determinata da molteplici aspetti, quello decisivo è la compliance del soggetto. Il peso che si dà alla prima parte della terapia è centrale nel trattamento di supporto che segue. Con questa tecnica, rispetto al protocollo della FMD, si abbracciando anche aspetti a livello psicologico e umano, rendendo il paziente parte attiva del tutto11. Con la presentazione di questi due casi si è voluto rafforzare e dimostrare l’efficacia del protocollo Full mouth disinfection modificata, prendendo in considerazione sia aspetti clinici che non. A livello psicologico, avendo meno fastidio, può risultare sufficiente anche solo un anestetico topico, evitando al curato un momento di ansia e stress. I parametri clinici sono prognostico positivo: Bop e Pi diminuiscono e anche la seduta di conseguenza risulta meno aggressiva e più tollerabile12. I pazienti rispetto alle antecedenti sedute di igiene si sono posti in maniera diversa, più consapevoli di essere i “medici” di loro stessi e di conseguenza i veri protagonisti per il mantenimento della propria salute, sia orale che sistemica.
Bibliografia
1. Marco A Peres, Lorna M D Macpherson, Robert J Weyant, Blánaid Daly, Renato Venturelli, Manu R Mathur, Stefan Listl, Roger Keller Celeste, Carol C Guarnizo-Herreño, Cristin Kearns, Habib Benzian, Paul Allison, Richard G Watt. Oral diseases: a global public health challenge. Lancet 2019; 394: 249–60.
2. www.corriere.it - 700 mila morti l’anno per resistenza agli antibiotici. Gennaio 2020.
3. www.corriere.it-salute malattie infettive. La resistenza agli antibiotici nel 2050 sarà la prima causa di morte. Novembre 2018.
4. Ling Zhang, Yuan Liu, Huajun Zheng and ChenPing Zhang. Front. Cell. Infect. Microbiol. doi: 10.3389/fcimb.2019.00476. The oral microbiota may have influence on oral cancer.
5. Yale J Biol Med. Microbiome. Xiaoni Liu. 2016 Sep; 89(3): 275–276.
6. Eberhard J, Jepsen S, Jervøe-Storm PM, Needleman I, Worthington HV. Full-mouth disinfection for the treatment of adult chronic periodontitis. Cochrane Database Syst Rev. 2008 Jan 23;(1):CD004622. doi: 10.1002/14651858.CD004622.pub2.
7. . L. Lettieri, C. Lorenzi, A. Genovesi. Nuovo approccio al protocollo di full-mouth disinfection. Dental Tribune Italy 2014 n° 12.
8. Hartono RK, Hamid, Hafizurrachman M. Do the Number of Cigarettes Smokes per Day Contribute to the Incident of Malignant Cancer? Asian Pac J Cancer Prev. 2019 May 25;20(5):1403-1408.
9. Piera Valenti. Lattoferrina e cavo orale. Doctor os- giugno 2016- XXVII 16 pg 1-8.
10. Sadatullah S, Mohamed NH, Razak FA. Qualitative analyses of the antimicrobial effect of ozonated water on supragingival plaque and salivary microbes. Ann Med Health Sci Res 2014;4:526-31.
11. Marconcini S, Goulding M, Oldoini G, Attanasio C, Giammarinaro E, Genovesi A.Clinical and patient‐centered outcomes post non‐surgical periodontal therapy with the use of a non‐injectable anesthetic product: A randomized clinical study. J Invest Clin Dent. 2019.
12. A,M, Genovesi, S. Marconcini, M. Ricci, O, Marchisio, F. Covani and U. Covani. Evalutation of a decontamination protocol prior to a full mouth disinfection procedure: A randomised clinical study. Academic journals- Journal of dentistry and Oral Hygiene vol 6 (7), pp. 77 – 84, November 2014.











