Gestione integrata della mucosite perimplantare
Studio randomizzato sull’utilizzo di gel ozonizzato e gel con Clorexidina 1% nel contesto clinico e domiciliare
Sara Katarina Brenna*, Alessia De Leonardis*, Francesca Pandolfi*, Saverio Cosola*, Giacomo Oldoini*,
Annamaria Genovesi*
*Attività del master di I livello presso l’Istituto Stomatologico Toscano
Introduzione
Gli impianti dentali sono ampiamente utilizzati per riabilitazioni protesiche, offrendo risultati soddisfacenti sia estetici che funzionali con una percentuale di successo elevata. Tuttavia, le malattie peri-implantari, come la mucosite e la perimplantite, possono compromettere il successo a lungo termine. La mucosite è reversibile e richiede una gestione efficace del biofilm e dell’infiammazione per prevenirne l’aggravamento verso la perimplantite. È importante individuare tempestivamente queste condizioni attraverso un’igiene orale accurata, l’uso di prodotti gengivali antisettici e controlli periodici.
Obiettivi
L’obiettivo di questo studio è stato quello di confrontare l’efficacia di un gel ozonizzato (gruppo trial) con un gel a base di Clorexidina (gruppo controllo) al fine di valutare le loro capacità nel migliorare gli indici parodontali nei siti affetti da mucosite peri-implantare.
Materiali e metodi
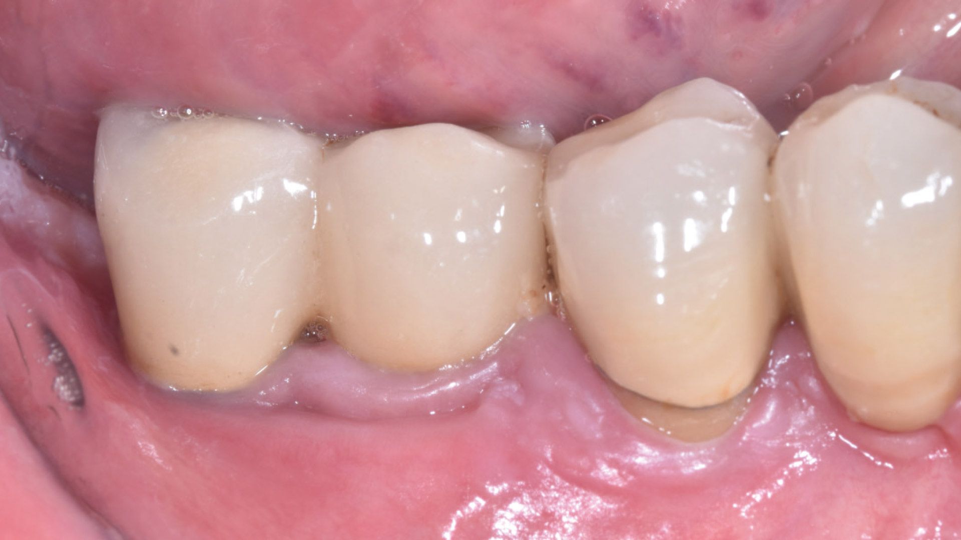
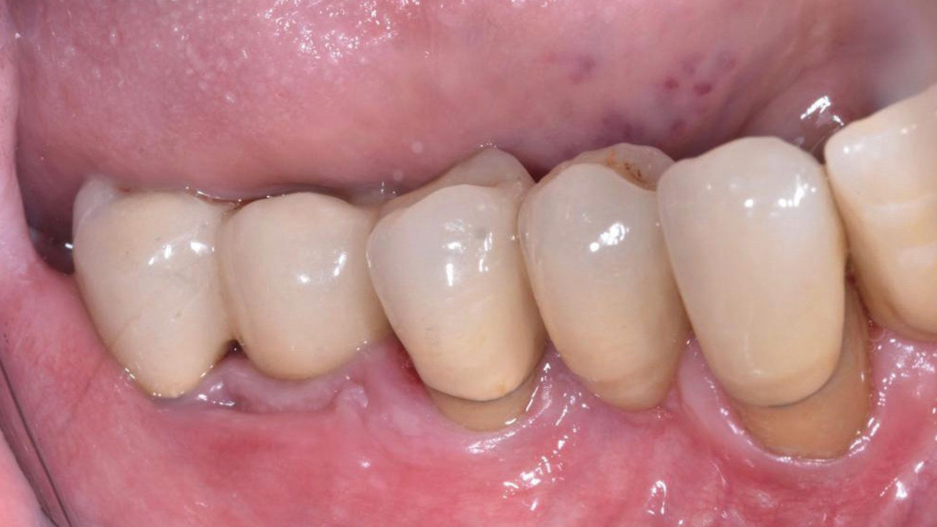
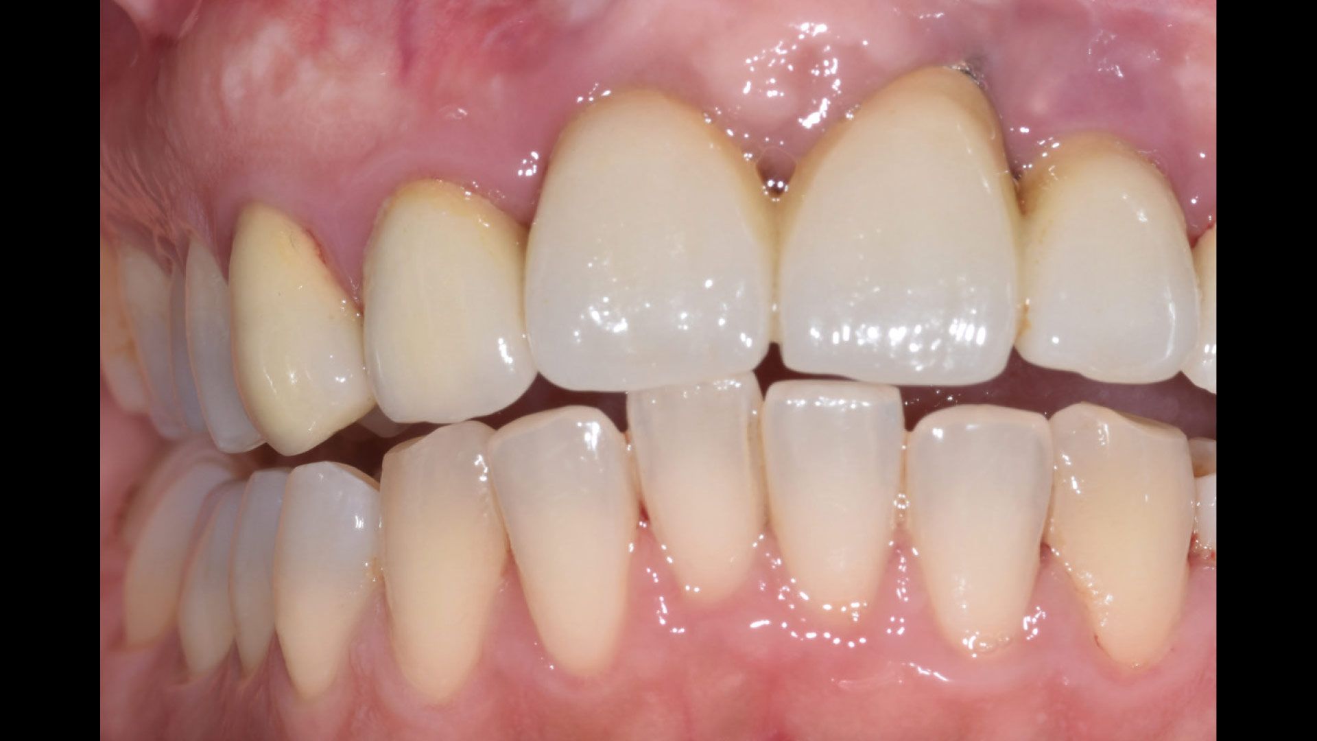
Lo studio è stato condotto presso studi dentistici privati con sede a Roma e Como. Sono stati reclutati 27 pazienti e divisi in gruppo 1 (applicazione di gel a base di clorexidina nei siti con mucosite perimplantare), gruppo 2 (applicazione di gel a base di Ozono) e gruppo 3 controllo (senza utilizzo di gel topici). Al baseline (T0) si è proceduto a valutare lo stato clinico dell’elemento implantare attraverso foto e radiografie periapicali, è stato poi rilevato l’indice di sanguinamento (Gengival Index) e successivamente è stato eseguito un debridement sub-gengivale tramite l’utilizzo di Glicina. Per il trattamento domiciliare ai pazienti sono stati consegnati gel a base di Ozono o di Clorexidina al 1% da applicare nei siti tramite lo scovolino. A T1(a 1 mese da T0) e a T2 (a 3 mesi da T0) sono state ripetute le stesse valutazioni e le stesse manovre professionali (Figg. 1a-6).
Risultati
Nei pazienti afferenti al primo gruppo tra T0 e T1 si è osservato una significativa riduzione del sanguinamento al sondaggio, peggiorato poi in T2 successivamente all’interruzione dell’applicazione del gel. Nel secondo gruppo si è avuta una costante riduzione del sanguinamento al sondaggio tra T0 e T1, continuata anche in T2. In fine nel gruppo controllo il sanguinamento al sondaggio tra T0 e T1 è risultato essere incostante, così come in T2 dove non sempre vi è stato un miglioramento dell’indice di sanguinamento.
Conclusioni
L’utilizzo di gel a base di Clorexidina e di Ozono ha portato a una regressione del sanguinamento al sondaggio nei gruppi 1 e 2, mentre nel gruppo di controllo si è registrata una persistenza del sanguinamento. Non ci sono state differenze significative tra i gruppi nel sanguinamento iniziale, ma nel tempo T2 si è osservata una recidiva della patologia nei pazienti che utilizzavano gel a base di Clorexidina, mentre non è stata riscontrata alcuna recrudescenza nei pazienti trattati con Ozono. Lo studio supporta l’uso dell’Ozono nel trattamento della mucosite, ma sono necessari ulteriori trial per un approccio condiviso e validato scientificamente.
Figg. 1a, 1b - Gruppo 1: elemento 46, immagine acquisita a T0; Fig. 2 - Gruppo 1: elemento 46, immagine acquisita a T1; Fig. 3 - Gruppo 1: elemento 46, immagine acquisita a T2; Figg. 4a, 4b - Gruppo 2: elemento 11, immagine acquisita in T0; Fig. 5 - Gruppo 1: elemento 11, immagine acquisita in T1; Fig. 6 - Gruppo 2: elemento 11, immagine acquisita in T2.











